Dr. med. J. Peter Christmann , 55130 Mainz
- Eine Studie von Prof. Deeg (Bamberg) bestätigt:
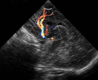
- Ein Risikofaktor für den plötzlichen Säuglingstod ist eine Minderversorgung des Hirnstammes durch verminderten Blutfluß in einem wichtigen Blutgefäß bei Kopfwendung des Säuglings (Arteria basilaris bzw. Arteria vertebralis).
- Eine Doppler-Sonographie der entsprechenden Arteria basilaris wird bei uns angeboten: der optimale Untersuchungszeitpunkt liegt in der frühen Säuglingszeit ab Vorsorge U2 bis U3.
Impfungen
sind die wichtigste präventive Maßnahme zur Vermeidung von Krankheiten; wir wollen uns aus diesem Grunde um einen guten Impfschutz für Sie und Ihr Kind bemühen.
- Der Impfkalender für Säuglinge, Kinder, Jugendliche und Erwachsene ist Teil der Empfehlungen der Ständigen Impfkommission (STIKO) des Robert Koch-Instituts. Der Impfkalender gibt einen raschen Überblick der empfohlenen Impfungen.
- Impfkalender öffnen
- https://www.kinderaerzte-im-netz.de/impfen/
🔍
