Dr. med. J. Peter Christmann , 55130 Mainz
| AABR = automated auditory brainstem response ( AABR ), das von uns eingesetze Verfahren zur Hirnstammaudiometrie bei jungen Säuglingen |
Aktivitäten:
|
| Anrufbeantworter über diesen erfährt man: -- Praxis-Öffnungszeiten; -- wer den kinderärztlichen Notdienst durchführt; -- wann die allgemeine Notdienstzentrale im St. Hildegardis-Krankenhaus dienstbereit ist; |
| ANKK Arbeitskreis niedergelassener Kinderkardiologen ANKK |
| Atopieprävention Empfehlungen zur alimentären Atopieprävention - Stand 2003 (nach Prof. Dr. C.P. Bauer, Fachklinik Gaißach) in "Allergo Journal 2004; 13: 120-5"
|
| Bauch-Sonographie (abdominelle Sonographie) umfaßt ein großes Feld von "Bauchthemen": von der Diagnostik einer Pylorus-Stenose (Magenpförtnerkrampf) beim Säugling über die Appendizitis (Entzündung des Blinddarmanhangs) bis zur Identifizierung von auffälligen Tastbefunden (Organvergrößerung, Raumforderung, Lymphknoten). |
| DEGUM Deutsche Gesellschaft f. Ultraschall in der Medizin DEGUM (seit Nov. 2001 Qualitätsstufe II in unserer Praxis) |
| Deutsches Grünes Kreuz Deutsches Grünes Kreuz |
| DGPI Deutsche Gesellschaft für pädiatrische Infektiologie (DGPI) |
| Folsäure-Prophylaxe Ein Großteil aller Neuralrohrdefekte (z.B. offener Rücken) lassen sich durch die Einnahme von 400 µg Folsäure mindestens vier Wochen vor der Befruchtung und in den ersten zwölf Wochen der Schwangerschaft verhindern. Als Grundregel sollten alle Frauen mit Kinderwunsch - nach Beendigung der Schwangerschaftsverhütung - Folsäure einnehmen. Mehr dazu auf der Seite der Folsäureinitiative http://www.mainzermodell.de/content/Folsaeure.50.0.html |
| GAVI Global Alliance for vaccines and immunization GAVI |
| GEPS GEPS = Gemeinsame Elterninitiative Plötzlicher Säuglingstod e.V. |
| GINI-Studie = German Infant Nutrition Intervention Study (GINI) s.a. alimentäre Atopieprävention |
| HA-Nahrung (s.a. Hydrolysatnahrung) |
| Harntrakt-Sonographie umfaßt die Darstellung von Nieren/Nebennieren, Harnleitern, Harnblase (ggfs. Harnröhre) und den hinter der Blase gelegenen Raum. Untersuchungsgründe: - Neugeborenes - Lageanomalien - Harntransportstörungen - Entzündungen (Blase/Nierenbecken) - Einnässen (Enuresis) |
| Hausbesuche: insbesondere für die Vorsorgeuntersuchung 3. bis 10 Lebenstag = U2 können prinzipiell organisiert werden; die diagnostischen und therapeutischen Möglichkeiten sind in der Praxis aber besser |
| Herzfehler, Register angeborener Herzfehler Das nationale Register für angeborene Herzfehler ist das Kernprojekt im Kompetenznetz Angeborener Herzfehler AHF. Das Register bildet die Grundlage epidemiologischer Studien, die bisher international fehlen. - Je vollständiger das Register, um so aussagefähiger wird es sein |
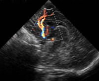
| Herzschall-Untersuchung auch als Echokardiographie oder UKG-Untersuchung bekannt; wird standardmäßig als Farbdoppler-Untersuchung (FD-Echokardiographie) durchgeführt |
| Hirnstammaudiometrie überprüft die gesamte Hörbahn; erweitert die bislang mögliche Innenohrprüfung (OAE - otoakustische Emissionen) um den "neuralen" Teil. Die Methode ( AABR Automatische Erfassung auditorischer Hirnstammpotentiale )wird ab sofort von uns angeboten, am besten im Zeitrahmen U2 bis U3 durchgeführt |
| Hoden-Sonographie Größenbestimmung Unterscheidung von Entzündung (z.B. des Nebenhodens) und Verdrehung (Torsion) |
| Hüftschall Hüftschall=Sonographie der Säuglingshüfte |
| Hörprüfung: beim Säugling als OAE: Innenohrprüfung (s.d.)oder besser als Hirnstammaudiometrie, als Audiometrie: (s.d.) ab 3-4 Jahren; ergänzendes Verfahren: Tympanometrie (s.d.) |
| Hydrolysat-Nahrung (Hydrolysatmilch) = HA-Nahrung Die Hydrolyse (hier: Eiweißspaltung) wird entweder soweit durchgeführt, daß möglichst keine Allergene mehr in der Nahrung nachweisbar sind (eHF= extensiv hydrolysierte Formula) oder soweit, daß noch Teilallergene vorhanden sind (pHF= partiell hydrolysierte Formula). s.a. Alimentäre Atopieprävention |
| Hyposensibilisierung spezifische Immuntherapie (Injektionen gegen Allergie), s.a. SIT (die orale/sublinguale Hyposensibilisierung ist in der Pädiatrie noch nicht Standardtherapie) |
| IGEL-Leistungen Individuelle Gesundheits-Leistungen: Leistungen außerhalb der Erstattungspflicht der gesetzlichen Krankenkassen |
Impfungen
zugrunde:
|
| JEMAH Bundesvereinigung JEMAH e.V. (Junge Erwachsene mit angeborenen Herzfehlern) |
| Jugendarbeitsschutzuntersuchung ist erforderlich für Jugendliche unter 18 Jahren, die in ein Beschäftigungsverhältnis eintreten (AZUBI). - Es muß ein Berechtigungsschein des zuständigen Einwohnermeldeamtes vorgelegt werden. |
Keuchhusten (Pertussis), Keuchhusten-Impfempfehlung ausgedehnt
|
KoHKi
|
| Kopfläuse zu diesem Thema lesenswert: ein Merkblatt (PDF öffnen), das mir freundlicherweise von Dr. Bettina Pröbster und Dr. Jörn Schneider, Wiesbaden, zur Verfügung gestellt wurde und |
| Kostenerstattung Ab dem 1. januar 2004 können alle Versicherten der GKV (freiwillige Mitglieder ebenso wie Pflichtmitglieder) Kostenerstattung anstelle des Sachleistungsprinzips wählen. Der Leistungsanspruch in der Kostenerstattung ist dabei identisch mit dem im Sachleistungsprinzip. Kostenerstattung ist ein Wahlrecht des Versicherten und nicht etwa des Arztes. um den Versicherten bei dieser Entscheidung zu beraten, wird den Krankenkassen unabhängig von ihren allgemeinen Informationspflichten eine ausdrückliche Pflicht auferlegt, die Versicherten über die Folge der Kostenerstattung aufzuklären. Der Arzt darf den Versichtern über diese Wahlmöglichkeit ebenfalls sachlich informieren, er darf ihn jedoch keinesfalls zur Kostenerstattung drängen. ..... [vollständiger Text ist nachzulesen über KBV-Kassenärztliche Bundesvereinigung---Fachbesucher---Publikationen---vom 4.12.2003:Gesetz zur Modernisierung der gesetzlichen Krankenversicherung/Informationen für den Vertragsarzt---zum Ende scrollen---Download---S.15-16] |
| Leistungsspektrum siehe dieses (-->) |
| Lungenfunktion = Spirometrie |
| Magenpförtnerkrampf (Hypertrophische Pylorusstenose; Pylorusstenose) Die hypertrophische Pylorusstenose ist mit 1 auf 500 Neugeborenen eine nicht seltene Krankheit des frühen Säuglingsalters. Knaben sind 4-5 mal häufiger betroffen als Mädchen. Durch eine unzureichende Öffnung des Magenausgangs, meist verbunden mit einer Verdickung des Magenausgangsmuskels, kommt es zu einer Anreicherung/Stauung von Nahrung im Magen mit schwallartigem Erbrechen und folgender Abmagerung und Austrocknung. Die Säuglinge wirken gequält, trinken gierig, nehmen aber nicht zu. Neben einer allgemeinen körperlichen Untersuchung mit Gewichtsdokumentation führt eine Ultraschall-Untersuchung zur Diagnose. Der beste Zeitpunkt der Sonographie liegt vor der nächsten anstehenden Fütterung. Die Therapie einer ausgeprägten Pylorusstenose besteht überwiegend in einem chirurgischen Eingriff. Nur bei leicht ausgeprägtem Krankheitsbild kann ein konservativer Behandlungsversuch unternommen werden. |
Mitgliedschaften
|
Mitzubringen sind
|
Notdienste
|
| OAE Otoakustische Emissionen (Innenohrprüfungen, geeignet schon ab Säuglingsalter) - die Prüfung der gesamten Hörbahn leistet die Hirnstammaudiometrie: diese wird bei uns jetzt eingesetzt bei Säuglingen bis zum 6. Monat, bevorzugt im Rahmen U2 bis U3. s. dazu auch: AABR )= automated auditory brainstem response (Automatische Erfassung auditorischer Hirnstammpotentiale) |
| Plötzlicher Säuglingstod (SID) Zur Vermeidung des "Plötzlichen Säuglingstodes" (SID=Sudden Infant Death) hat die GEPS (Gesellschaft zur Vermeidung des Plötzlichen Säuglingstodes) Präventionsempfehlungen gegeben, die unter "Plötzlicher Säuglingstod - das Risiko verringern" nachlesbar sind; besonders zu empfehlen die Broschüre zur "optimalen Schlafumgebung für Ihr Baby" Neu:Ein Risikofaktor könnte eine Minderversorgung des Hirnstammes durch verminderten Blutfluß in einem wichtigen Blutgefäß bei Kopfwendung des Säuglings darstellen. Eine Doppler-Sonographie der entsprechenden Arteria basilaris wird ab sofort bei uns angeboten: der optimale Untersuchungszeitpunkt liegt in der frühen Säuglingszeit ab Vorsorge U2 bis U3. |
| Pylorusstenose s.a. Magenpförtnerkrampf |
| Parkplätze für Besucher/ Patienten befinden sich vor und neben dem Gebäude sowie auf dem Parkplatz hinter dem Gebäude (die letztgenannten sind durch Schranke gesichert und mit "Dr. Christmann" markiert; die Schrankenöffnung erfolgt über Sprechanlage) | ![]() |
| Patientenquittung Gesetzlich versicherte Personen können ...vom Vertragsarzt einen schriftlichen Beleg über die zu Lasten der Krankenkasse erbrachten Leistungen und deren vorläufige Kosten verlangen. Hierfür hat sich im politischen Sprachgebrauch der Begriff Patienquittung eingebürgert. ... vollständiger Text ist nachzulesen über KBV-Kassenärztliche Bundesvereinigung---Fachbesucher---Publikationen---vom 4.12.2003:Gesetz zur Modernisierung der gesetzlichen Krankenversicherung/Informationen für den Vertragsarzt---zum Ende scrollen---Download---S.17] |
| Photoscreening Photographische Methode zur Früherkennung von Sehfehlern im Kindesalter; kann ab etwa dem 6. Monat eingesetzt werden; die Frühdiagnostik soll die sogenannte "zentrale Sehschwäche" vermeiden helfen. Die Untersuchung wird von uns als IGEL-Leistung angeboten. | ![]() Photoscreening |
Über das Allergie- Dokumentations- und Informationszentrum ADIZ in Bad Lippspringe ist eine persönliche (kostenlose) Pollenflugvorhersage per email (und auch SMS) möglich. |
| Rauchen/Nichtrauchen s.dazu aktuelle Mitteilung der Bundezentrale für gesundheitliche Aufklärung BZgA Nichtrauchen lohnt sich |
| Rett-Syndrom Elternhilfe RETT-Syndrom |
| Schädel-Sonographie - beim Säugling durch die offene Fontanelle - später auch durch dünnere Teile des Schädelknochens - Neu:Ein Risikofaktor für den plötzlichen Säuglingstod könnte eine Minderversorgung des Hirnstammes durch verminderten Blutfluß in einem wichtigen Blutgefäß bei Kopfwendung des Säuglings darstellen. Eine Doppler-Sonographie der entsprechenden Arteria basilaris wird ab sofort bei uns angeboten: der optimale Untersuchungszeitpunkt liegt in der frühen Säuglingszeit ab Vorsorge U2 bis U3. | ![]() |
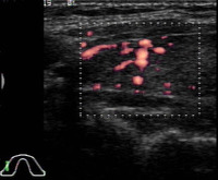
| Schilddrüsen-Sonographie - Größenbestimmung - Umbauvorgänge (Cysten?) - Autoimmunprozesse (Durchblutung?) | ![]() |
| Sonographie Sonographie= Ultraschall-Diagnostik Schwerpunkt unserer Praxistätigkeit ist die Ultraschall-Diagnostik der verschiedensten Körperregionen unter Einsatz des Doppler-Verfahrens: Schädel Schilddrüse Farbdoppler- Herzschall Bauch Harntrakt Genitale: .....männlich: Hoden-SonographieHoden .....weiblich: Gebärmutter/Eierstöcke Säuglingshüfte .....(Ziel: Untersuchung in 4.-5.Woche) Weichteile/Lymphknoten/Gelenke |
| Sonographie der Säuglingshüfte (Hüftschall) im Rahmen der Vorsorge-Untersuchung U3 durchzuführen, bei Auffälligkeiten in der Neugeborenen-Phase: früher. Bitte rechtzeitig anmelden; nach der 6.Lebenswoche ist die Untersuchung nicht durch die GKV gedeckt. | ![]() |
| Sonographie von Weichteilen/Lymphknoten/Gelenken hierunter fallen die verschiedensten Bereiche außerhalb der klassischen Untersuchungsgebiete |
| Spirometrie (Lungenfunktionsprüfung) Messung verschiedener Atemwerte unter Mitarbeit des Probanden/Patienten (Diagnostik der Weite der Atemwege/Bronchien bzw. der Dehnfähigkeit des Lungen-/Brustkorb-Systems) |
| Windpocken (Varizellen) STIKO erweitert Empfehlungen für die Varizellen-Impfung: Auf ihrer Sitzung am 2. Juni hat die Ständige Impfkommission (STIKO) beschlossen, dass zukünftig bevorzugt Kleinkinder zusammen mit der ersten MMR-Impfung und alle seronegativen Personen zwischen 9 und 18 Jahren gegen die Windpocken geimpft werden sollen. Die Empfehlung ist im neuen Impfkalender enthalten. Dieser wurde im August 2004 im Epidemiologischen Bulletin veröffentlicht. Information über Windpocken erhält man z.B. im Windpocken-Lerngewinnspiel auf der Seite Gesundes Kind Die gesetzlichen Kassen übernehmen die Impfkosten. |
| Varizellen(Windpocken) s.Windpocken |
🔍





